069 620 555
str. Andrei Doga 28/6, Chișinău
La CristiDent Chișinău, realizăm reabilitări complete pe 4 sau 6 implanturi (All-on-4 / All-on-6), oferind pacienților dinți ficși în doar 24 de ore.
Lucrare provizorie fixă inclusă
Toate extracțiile gratuite
Și tomografie 3D GRATUITĂ pentru primii 20 de pacienți programați luna aceasta.
În plus, poți plăti în rate fără dobândă, direct în clinică!
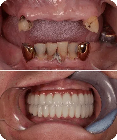
Proteza nu stă fix și te face să eviți mesele cu familia?
Ți-e rușine să zâmbești sau să vorbești în public?
Te dor gingiile sau ți-au rămas doar câțiva dinți mobili?
Ai obosit să tot amâni tratamentul din teamă sau din cauza costurilor?
Mii de moldoveni au trecut prin aceleași probleme și și-au recăpătat zâmbetul la CristiDent.
Tehnologia All-on-4 / All-on-6 îți oferă:
O lucrare fixă imediată, montată la 24h după inserarea implanturilor
Stabilitate totală - fără adezivi, fără proteze mobile
Estetică naturală, potrivită feței și vârstei tale
Tratament rapid, fără durere, cu recuperare minimă

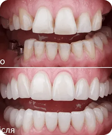
După ani de disconfort și proteze deteriorate, Mariana a decis să aibă din nou încredere într-un medic.
A ales clinica noastră pentru promptitudine și transparență: „mi s-a spus clar totul, pas cu pas și fără costuri ascunse.”
Astăzi zâmbește fără teamă și spune că experiența a fost mult mai ușoară decât și-ar fi imaginat.
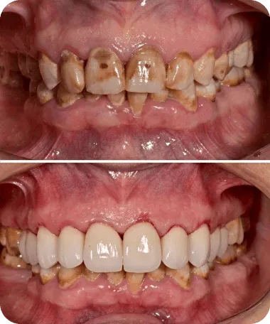
După o experiență neplăcută la o altă clinică, Tatiana a ales să aibă din nou încredere.
A venit din Italia, convinsă de poveștile vecinilor și prietenilor care s-au tratat aici.
Tratamentul a fost ușor, fără durere, iar acum zâmbește din nou cu încredere și spune că medicii sunt „mai sus de nota 10”.
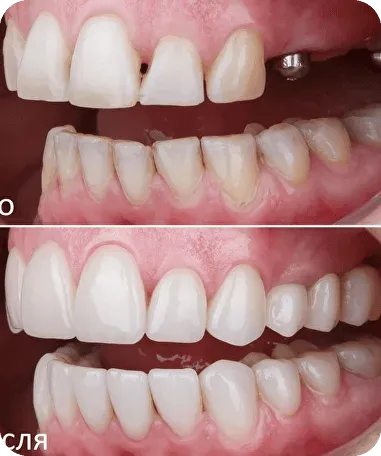
Dinți ficși pe 4 implanturi (All-on-4)
Poți mânca, vorbi și zâmbi imediat după intervenție.

Garanție 10 ani pentru implanturi - Dacă nu se integrează unul dintre implanturi îl schimbăm cu un alt implant fără costuri suplimentare.

Totul, într-un singur plan de tratament transparent:
Consultație completă cu medic implantolog
Tomografie 3D gratuită (pentru primii 20 de pacienți)
Toate extracțiile incluse (dacă e cazul)
Inserarea a 4 implanturi dentare premium
Lucrare fixă provizorie estetică în 24h
Plan de tratament personalizat și clar
Posibilitate de plată în rate, fără dobândă
Ofertă acum
doar 1.699€ / arcadă
Peste 10 ani de experiență în implantologie și reabilitări orale complexe
Echipă certificată internațional în tehnici All-on-4 / All-on-6
Aparatură digitală de ultimă generație (CBCT, scanner intraoral, sistem de ghid chirurgical)
Abordare fără durere - cu anestezie locală
Rezultate estetice naturale și durabile






Nu. În doar 24 de ore poți avea lucrarea provizorie fixă montată.
Nu. Intervenția se face sub anestezie locală - nu vei simți nicio durere.
Da. Oferim opțiuni de plată în rate, fără dobândă, direct în clinică.
După 4–6 luni, când implanturile s-au integrat complet, se montează lucrarea finală, perfect adaptată.
Primești o evaluare completă 3D, plan de tratament detaliat și discuție personalizată cu medicul implantolog.
La CristiDent, totul este transparent:
Deviz clar înainte de tratament
Explicații pas cu pas
Echipă dedicată care te ghidează de la prima consultație până la zâmbetul final.
Nu există taxe ascunse, promisiuni false sau tratamente grăbite - doar profesionalism, empatie și rezultate reale.
